|
中篇——专题提升
专题一 生物与环境
(第一单元;第二单元;第三单元第6章;第四单元第7章)
【要点梳理】
一、生物和生物圈
1.怎样判断一个物体是否是生物?当小昆虫失足跌进猪笼草的小瓶内,瓶盖会立即关闭,昆虫很快就变成肉汁,这说明生物具有什么特征?珊瑚是不是生物?为什么?
2.生物圈的范围包括哪些?生物的生长需要哪些条件?如果你栽培了一株月季,你需要给它提供哪些条件?宇航员到太空需要从地球携带哪些物质?
3.影响生物生活的环境因素有哪些?如何探究光对鼠妇生活的影响?举例说明生物对环境的适应和影响。
4.如何判断某一区域是否是生态系统?一片树林、一片草原上所有的草是否属于生态系统?
5.生态系统的生物部分包括哪些?它们的作用分别是什么?
6.如何正确书写食物链?在生态系统中,物质和能量的流动各有什么特点?生态系统中能量的最终来源是什么?
7.什么是生态平衡?它有什么特点?人类能不能随意消灭某种动物?为什么?
8.生态系统有哪些类型?最大的生态系统是什么?
二、生物和细胞
1.如何正确使用显微镜?如何调节视野的亮度?怎样计算放大倍数?如何区分低倍物镜和高倍物镜?
2.高倍物镜下和低倍物镜下相比,视野的亮度、视野的范围、细胞的数量、细胞的体积大小各有什么不同?
3.如何根据物像的移动方向来判断玻片标本的移动方向?视野中有一个污点,怎样判断它的位置?怎样区分视野中的细胞和气泡?
4.怎样用显微镜观察植物细胞及人的口腔上皮细胞?应注意哪些问题?
5.动物细胞和植物细胞在结构上有什么异同?
6.细胞内有哪些物质?控制物质进出细胞的结构、能量转换器、遗传信息库分别是什么?
7.克隆羊多莉是如何产生的?它的长相像哪一只羊?
8.细胞分裂过程中最重要的变化是什么?这种变化有什么意义?细胞分化和细胞分裂有何不同?
9.动物体和植物体在结构层次上有什么异同?
10.在观察草履虫时应注意哪些问题?草履虫是怎样生活的(运动、呼吸、消化、排泄、应激性等)?赤潮是怎样形成的?它有什么危害?对预防赤潮你有什么建议?
11.细菌、真菌、病毒在结构上各有什么特点?它们是怎样生活的?
三、人类与环境
1.举例说明人类破坏生态环境(或植被)的行为?为保护生态环境(或植被)我们应该怎么做?
2.什么是酸雨?它是怎样形成的?它有哪些危害?控制酸雨的根本措施是什么?控制废电池危害的根本措施是什么?
3.如何探究酸雨(或废电池)对生物的影响?
4.我国主要植被类型有哪些?为保护植被,我国已采取了哪些措施?你有何建议?
【典例分析】
(1)要组成一个完整的生态系统,除了图中的生物外,还应有_______________________________。
(2)此生态系统中的分解者是_______________,作用是______________ ______。
(3)该生态系统中有多条食物链,请写出最长的一条_____________
____________。
(4)为了防止鸟吃草子,有人用大网把人工种草的实验区罩了起来,实验区内的草能否获得高产,试分析回答:___________
___________。
【解析】本题考查生态系统的组成及各部分的作用、书写食物链的正确方法,以及人为破坏食物链,超过生态系统自动调节能力,从而使生态遭到破坏等知识。书写食物链,要从生产者开始写,到最后一个消费者结束,用箭头表示吃与被吃的关系,箭头指向后方,表示前一个营养级被后一个营养级所吃。注意箭头的方向不要写反了。
【答案】(1)阳光、空气、水等 (2)细菌、真菌 把动植物遗体中的有机物分解成简单的物质(3)草 → 昆虫 → 食虫鸟 → 鹰(4)不能,用网把草罩起来,昆虫会因为没有天敌而多起来,草会因昆虫太多而遭到破坏。
【例题2】(2009.山东济南)右图为某森林生态系统碳循环示意图,图中A、B、C、D分别代表生态系统的成分,①~⑦代表碳元素的传递过程。请据图回答:
(l)图中B是指 ,D是指 。
(2)碳元素在无机环境与生物之间以 的形式进行循环;碳元素通过[②] 作用由生物体进入无机环境。
(3)伴随着物质循环,能量沿食物链传递的特点是 。
【解析】本题为一综合题,主要考查生态系统的组成、功能以及各部分能参与自然界中的物质循环等知识。植物能通过光合作用吸收大气中的二氧化碳;植物被动物所食,植物、动物通过呼吸作用放出二氧化碳;动植物遗体、遗物又可被细菌、真菌分解为二氧化碳等无机物。
【答案】(1)生产者 分解者 (2)二氧化碳 呼吸 (3)(单向流动)逐级递减
【例题3】(2010.河北承德)右图是细胞结构模式图,请根据图示回答问题。
(1)图中乙细胞最外层①是 。
(2)②是 ,控制着物质的进出,
③是 ,其中储存着遗传信息。
(3)含有细胞液的结构是 (填图中的数字序号)。
(4)图中甲细胞没有结构⑥,你认为该结构最可能是 。
【解析】本题主要考查动物细胞、植物细胞的结构和各部分的功能以及动、植物细胞在结构上的主要异同点等知识。二者的相同点是都有细胞膜、细胞质、细胞核,不同点是植物细胞有细胞壁、叶绿体和大液泡,动物细胞没有。
【答案】(1)细胞壁 (2)细胞膜 细胞核 (3)⑤ (4)叶绿体
【专题训练】
1.(2010.山东菏泽)下图是处于平衡状态的某草原生态系统的食物网。据图回答问题:
(1)这个食物网由 条食物链构成。
(2)此草原中的所有生物及其生活环境共同构成 。
(3)对猫头鹰而言,能量消耗最少的食物链是 。
(4)猫头鹰体内的有机物最终是来源于 进行的 作用。
(5)如果当地有人开办工厂,导致该生态系统发生了重金属污染,则图中 内的重金属含量最高。
2.(2011.徐州)前些年,我国西部的一些地区由于急于发展,过度开采资源,超载放牧牲畜,使得草原植被遭到破坏,生物多样性锐减,引起了生态环境的急剧恶化。现在,如何保护生态环境,实现可持续发展,已成为中西部地区面临的最紧迫、最现实的问题。右图一是一个草原生态系统的营养结构,请据图回答:
(1)该生态系统中有 条食物链。
(2)在牧草→鼠→狐狸→鹰这条食物链中,获得能量最少的生物是 。
(3)生态系统具有一定的自我调节能力,草原生态系统比森林生态系统自我调节能力相对较弱的原因是 。
(4)草原生态系统由于超载放牧、鼠害、虫害的影响而出现荒漠化,从生物与环境的关系看,这种现象属于 。
(5)图二表示图一中某条食物链的各生物体内有机物总量的相对含量,请分析当乙的数量减少时,受到危害最严重的生物是 。
A.甲 B.丙 C.丁
3. 小明制作了洋葱鳞片叶表皮细胞、人的口腔上皮细胞临时装片,在显微镜下看到的情况如下图,请据图回答:
(1)据图可知,他观察到的洋葱表皮细胞是________图。他判断的主要依据是
。
(2)这两种细胞中都有的能量转换器是__________,主要的遗传信息位于 中。
(3)临时装片的制作主要在擦片、滴液、取材、盖片、染色五步,A图中出现气泡,可能是哪个步骤操作不规范引起的?____ _______。正确的操作方法是: 。
(4)制作口腔上皮细胞临时装片时,第二步中往载玻片中央滴加的液体是____________。滴加这种液体的原因是 。
(5)为了更清楚地看到B图中细胞的结构,他应该转动C图显微镜中标号_____________所示结构,使____________(填低倍或高倍)物镜对准通光孔。若显微镜的目镜为5×,物镜为10×,则观察到的物像放大 倍。若视野内有污点,移动临时装片和转动目镜后,污点均不动,说明污点在 上。
(6)B图中显微镜下不容易看不清的是细胞结构是______________。染色最深的细胞结构是_____________。小明在切洋葱时,辛辣味刺激他留下了眼泪,这种辛辣味物质存在于洋葱细胞的 中。
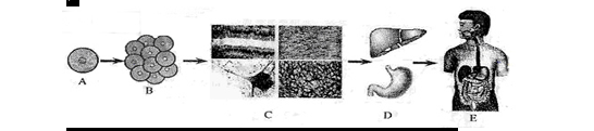
4.(2009·山东威海)下图中,A——E示意人体的不同结构层次,请据图分析回答问题
(1)整个人体都是由A细胞发育形成的,A细胞是 。
(2)A细胞通过 形成B。在此过程中 复制后形成形态、数量完全相同的两份,分别进入两个新细胞。
(3)B通过 形成C。在此过程中,细胞的形态、结构和功能产生了差异。
(4)在上图的结构层次当中,人体具有而植物没有的是[ ] 。
(5)系统是能够共同完成一种或几种生理功能的多个器官按照一定次序的组合。图中所示的系统具有的生理功能是 和 。
5.随着工业化的快速发展及化石燃料的大量使用,人们向大气中排放的二氧化硫等有害气体逐年增多。二氧化硫进入大气后,可在局部地区富集并在水的凝集过程中形成硫酸等酸性物质,随着雨水降落下来,这就是“酸雨”(pH<5.6)。酸雨的酸性程度可用pH值来表示,一般说来,pH值越小,其酸度就越大。酸雨对植物的生长有没有影响?生物兴趣小组的同学想以小麦种子为材料,探究酸雨对种子萌发的影响。请你参与进来,和小组的同学一起探究。
一、提出问题:小组同学提出的问题是: 。
二、作出假设:略
三、材料用具:大小相同的培养皿五只,大小、饱满程度相同的小麦种子100粒,小纱布10块, 以硫酸为材料配制的pH=5、pH=4、pH=3、pH=2的“酸雨”各20ml等。
四、方法步骤:
(1)将5只培养皿分别编号为A、B、C、D、E。
(2)在5只培养皿里各铺一块小纱布,其上均匀各撒20粒小麦种子,然后再用小纱布盖好。
(3)向A培养皿中均匀喷洒清水(pH=7)5ml,使之刚好将要淹没种子。
(4)向B、C、D、E四只培养皿中分别喷洒pH=5、pH=4、pH=3、pH=2的“酸雨”各 ml。
(5)盖上培养皿,将它们都放在适于种子萌发的环境里。
五、预测结果并得出结论:在得到实验结果前,预测可能的实验结果并得出相应结论。
预测1:随着pH值逐渐减小,种子萌发率逐渐升高,说明酸雨对种子萌发有 作用。
预测2: 。
预测3: 。
      6. 下图是科学家利用先进的生物工程技术,培育“多莉”羊的操作过程示意图,请据图回答:
(1)甲羊和乙羊为“多莉”的诞生分别提供了 ___ __和__ ___。
(2)细胞多莉A是在体外培养的,然后把由A发育成的胚胎移植到丙羊的__ ___内发育。
(3)“多莉”的长相与__ ___羊一模一样。
(4)“多莉”羊的培育属于动物的克隆,也就是动物的 (有性或无性)生殖。
|